Webセミナー_7月
カリエスマネジメントセミナー 第1回(3,000円)
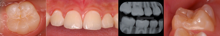
カリエスマネジメントの基本ICDASとXRをマスターしよう
パネリスト 杉山精一(代表理事)

講演内容
初期う蝕のマネジメントには、う蝕を早期に発見(Detection)して、診断結果を患者さんと共有することが大事です。初期う蝕の診査診断には、ICDASとXRが必要です。
今回のセミナーでは、ICDASとXRを解説した後に、クイズを行って理解を深めます。受講後には、臨床で使えるようになることをセミナーの目的としています。
※ 当日、資料として使う教材がございます。お手数ですが、登録完了メールに記載のURLから資料をダウンロードしてご準備ください。
対象者: ICDASとXRを知らない、臨床で使っていない歯科医師と歯科衛生士
参加希望者は、会員番号をご準備のうえ、下の申込フォームからお申込みください。申し込みにはペイパル(paypal:オンライン決算システム)への登録が必要になります。
登録完了メールにてウェビナーのお部屋案内をお送りします。当日まで申込可能です。
※登録後、申込完了メールが【no-reply@zoom.us】というアドレスから届きます。「@zoom.us」のドメインが迷惑メールのフィルターにかからないように、設定をお願いします。

終了しました。ご参加ありがとうございました。
アーカイブ動画 配信期間 2020年7月9日~2020年8月8日
配信期間は終了いたしました。ご視聴ありがとうございました。
カリエスマネジメントセミナー 第2回(3,000円)
カリエスマネジメントの基本CRASPをマスターしよう
パネリスト 杉山精一(代表理事)

講演内容
初期う蝕のマネジメントには、カリエスリスクを患者さんと共有することが大事です。CRASPは、カリエスリスクの把握と患者さんへの指導を同時に短時間で行うことができる便利なシステムです。
今回のセミナーでは、CRASPを解説した後に、受講後には、臨床で使えるようになることをセミナーの目的としています。
対象者: CRASPを知らない、臨床で使っていない歯科医師と歯科衛生士
※ 当日、資料として使う教材がございます。お手数ですが、登録完了メールに記載のURLから資料をダウンロードしてご準備ください。
参加希望者は、会員番号をご準備のうえ、下の申込フォームからお申込みください。申し込みにはペイパル(paypal:オンライン決算システム)への登録が必要になります。
登録完了メールにてウェビナーのお部屋案内をお送りします(届かない方は事務局まで連絡をお願いします)。当日まで申込可能です。
※登録後、申込完了メールが【no-reply@zoom.us】というアドレスから届きます。「@zoom.us」のドメインが迷惑メールのフィルターにかからないように、設定をお願いします。「zoom」からの自動返信メールですので、このメールには返信できません。
アーカイブ動画 配信期間 2020年7月27日~2020年8月26日
お申込みの方で、アーカイブのお知らせメールが未着の方は事務局まで連絡をお願いします。






